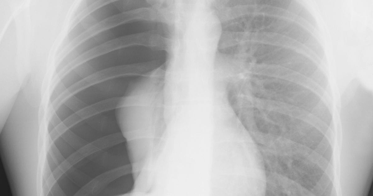
Pneumothorax is also called a collapsed lung. When air enters the pleural cavity (the space between the lung and chest wall), the buildup of air puts pressure on the lung. The pressure decreases the lung’s ability to expand and recoil with inspiration and expiration, resulting in lung collapse. The development of pneumothorax can be life-threatening and may require rapid interventions. This course will discuss traumatic and atraumatic pneumothorax, their signs and symptoms, treatment methods, and chest tube management.





